審美治療とは

審美治療とは、「むし歯治療で入れた銀歯が気になる」など、歯の見た目に関わるお悩みを解決する治療です。銀歯を白いセラミック素材の修復物に付け替える「セラミック治療」、専用の薬剤で歯を白く美しくする「ホワイトニング」などが、これに含まれます。そのほか、前歯の表面をごくわずかだけ削り、セラミックの板を張り付けることで歯を白くしたり、すきっ歯などを改善させたりする「ラミネートベニア」という治療もあります。 「見た目がいい歯」=「美しい歯」とは限りません。見た目だけではなく、「しっかりものが噛める」という機能性も備わっていてこそ、本当の意味での「美しい歯」だと考えています。大阪市北区・福島駅から近い当院では、審美性と機能性の両方にこだわって治療を行います。
詰め物・被せ物の種類
オールセラミック

セラミックのみで作られた詰め物・被せ物です。「メタルボンド」など金属を使った詰め物・被せ物には、金属が劣化することで、境目部分がむし歯になりやすい、歯茎が黒ずむことがあるなどのデメリットがありますが、オールセラミックであればそうした心配はほとんどありません。高い審美性と安全性が期待できます。前歯のような、人目に触れやすい部位におすすめの素材です。
メリット
- 天然歯同様の白さやつやが再現できる
- 金属の劣化による歯茎の黒ずみがない
- 金属を使用しないので、金属アレルギーの心配がない
- 汚れが付着しにくい
- 色素沈着(ステイン)による変色がない
- 他の修復物と比べ、デメリットは少ない
デメリット
- 金属を使った詰め物・被せ物と比べると破損しやすい
ジルコニア
人工ダイヤモンドにも用いられる「ジルコニア」のフレームに、ポーレセンを陶材として使用したセラミックを焼き付けた被せ物です。オールセラミック同様に天然歯に近い白さやつやを再現することができるほか、強度が優れているなどの特徴があります。また、生体親和性に優れているので、安心して使用していただくことができます。
メリット
- 天然歯同様の白さやつやを再現できる
- 金属の劣化による歯茎の黒ずみがない
- 金属を使用しないので、金属アレルギーの心配がない
- 従来のセラミックの被せ物よりも強度が高い
- 汚れが付着しにくい
- 色素沈着(ステイン)による変色がない
デメリット
- 歯を削る量が割と多い
- 天然歯よりも硬いので、周囲や噛み合わせる歯を傷める可能性がある
- 細かな色調が合わせにくい
ハイブリッドセラミック
プラスチックにセラミックを混ぜた、歯科用樹脂で作られた詰め物・被せ物です。オールセラミックと比べると審美性は劣りますが、割と費用を抑えることが可能です。また、金属を一切使用しないので、金属アレルギーの方でも安心してお使いいただけます。
メリット
- オールセラミックほどではないが、天然歯に近い色調を再現することができる
- 割と費用を抑えることができる
- 硬度が天然歯に近いので、周囲や噛み合わせる歯を傷つけにくい
- 金属を使用しないので、金属アレルギーの心配がない
デメリット
- 審美性はオールセラミックよりも劣る
- 時間が経過すると変色する可能性がある
- 時間が経過するとすり減ったり、破損したりする可能性がある
ラミネートベニア
前歯の表面をごくわずかだけ削り、シェル状の薄いセラミックの板を張り付けることで、歯の色を白くしたり、形を整えたりする方法です。ホワイトニングでは白くすることができないテトラサイクリンによる変色や、すきっ歯など軽度の噛み合わせの乱れを改善することができます。
部分矯正
歯並びが悪くて、自然な笑顔で笑えない、つい口に手をあててしまうと歯並びでお悩みの方も、おられると思います。 歯全体の矯正治療は、治療期間が2~4年以上必要です。 短期間で、歯並びを治したい方の場合、部分的に歯を移動することで歯並びを矯正できる場合には、数本の歯を矯正で治療する「部分矯正」で治療する事が出来ます。
歯が抜けてしまうと周りの歯は前に倒れてきてしまいます。
歯が倒れてきてしまうと、上下の歯の噛み合わせがなくなるだけでは無く、倒れてきた歯によって、ブリッジやインプラント治療をするスペースが無くなってしまいます。
部分矯正では、倒れてきた歯を物の位置まで戻します。
また、むし歯が歯茎の下まで進んでしまった場合、抜歯しないといけません。
しかし、部分矯正で歯茎の上まで歯を引き出す事によって、抜歯せずに歯の治療を行う事が出来る場合があります。
大阪市北区・大阪市福島区で部分矯正をお考えの方はこばやし歯科クリニックへご相談ください。
メリット
- 治療期間が短い
- 全体矯正に比べて費用が安い
- 一部分だけ器具を付けるので発音への影響が少ない
デメリット
- 一部の症例にしか適応しない
- 嚙み合わせは治らない
- 歯を削ってスペースを確保した際に知覚過敏が起こる可能性がある
費用
症例
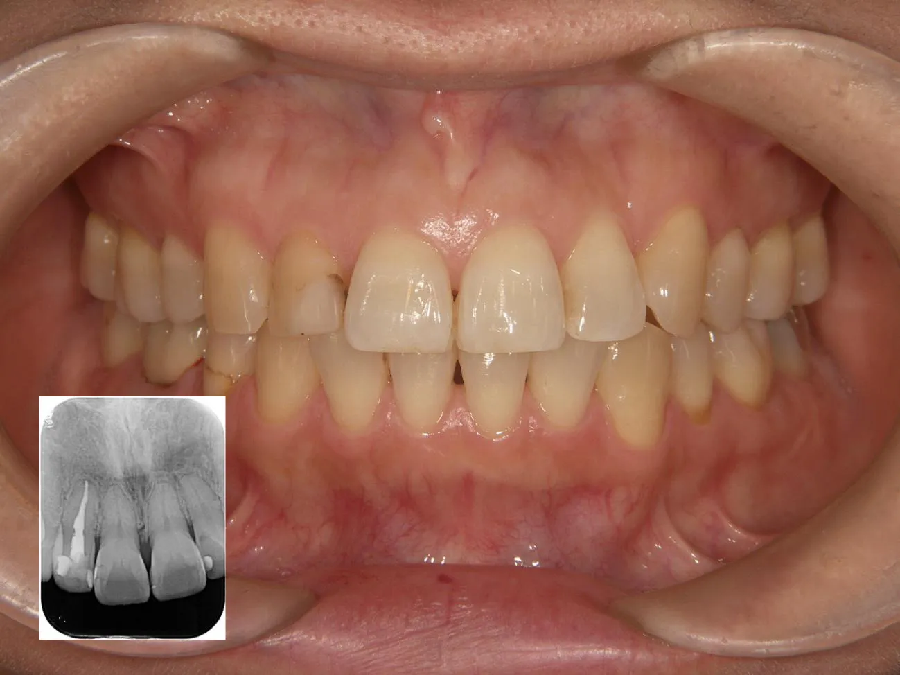
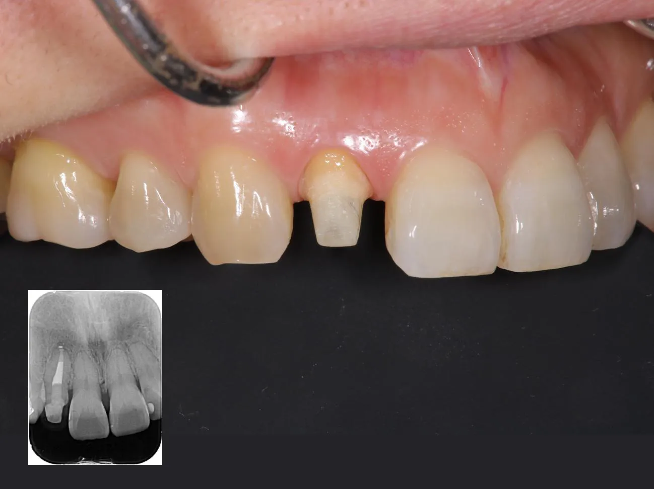
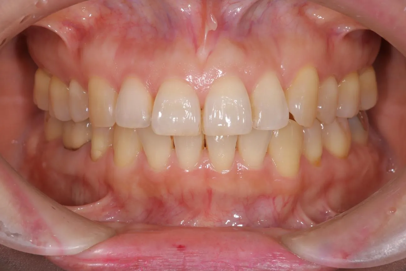
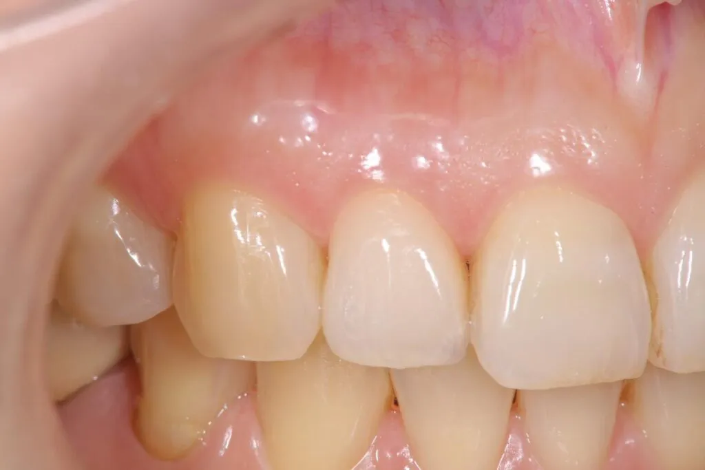
患者様のお悩み | 前歯の黒い部分が気になる |
|---|---|
治療法・使用素材 | 自費根管治療・補綴治療 オールセラミック |
患者様の年代 | 40代 |
治療開始年齢 | 43歳 |
治療にかかった期間 | 3ヶ月 |
性別 | 女性 |
この治療のリスクについて | 破折、脱離 |
治療にかかった費用 | 25万 |
治療前


治療中

治療後




