ラミネートベニアとは、虫歯でも無いのに生まれつきや、薬の影響で歯の色が変色してる方や、クリーニングやホワイトニングをしても、歯の白さを手に入れられない場合に、歯の表面を削り非常に薄いセラミックを強力な接着剤で貼り付けます。
ラミネートベニアは、歯に貼り付けるセラミックの形態、色、厚さなどを工夫することで、理想的な歯並びを短時間で手に入れることが出来ます。
安全で、耐久性があり、自然な歯の白さを手に入れる事が出来ます。
治療の期間は2回程度ですみ、痛みも無いので、早く美しい歯を手に入れることが出来ます。
大阪市北区でラミネートベニアをお考えの方は、こばやし歯科クリニックへご相談ください。
メリット
- ホワイトニングでは白くすることができない歯も、白くすることができる
- すきっ歯など、軽度の噛み合わせの乱れを短期間で改善することができる
デメリット
- 歯の表面を削らなければいけない
- 土台となる歯に負担がかかる
ラミネートベニアで綺麗な前歯をGETしよう!
皆さん、前歯が気になる・・と思われた事はありませんか?前歯は歯の中でも一番目立つ部分です。笑う時、会話する時一番初めに前歯が目に入ります。だからこそ気になるのですがその前歯で悩んでいる方は非常に多いです。
前歯コンプレックス
前歯でお悩みの方に是非当院でカウンセリングを受けていただきたいと思います。
ラミネートベニアはホワイトニングで白く出来ない歯も白く出来て、歯並びの改善にも効果がある、審美治療です。
ラミネートベニアをお考えの方は、大阪市北区のこばやし歯科クリニックへお越しください。
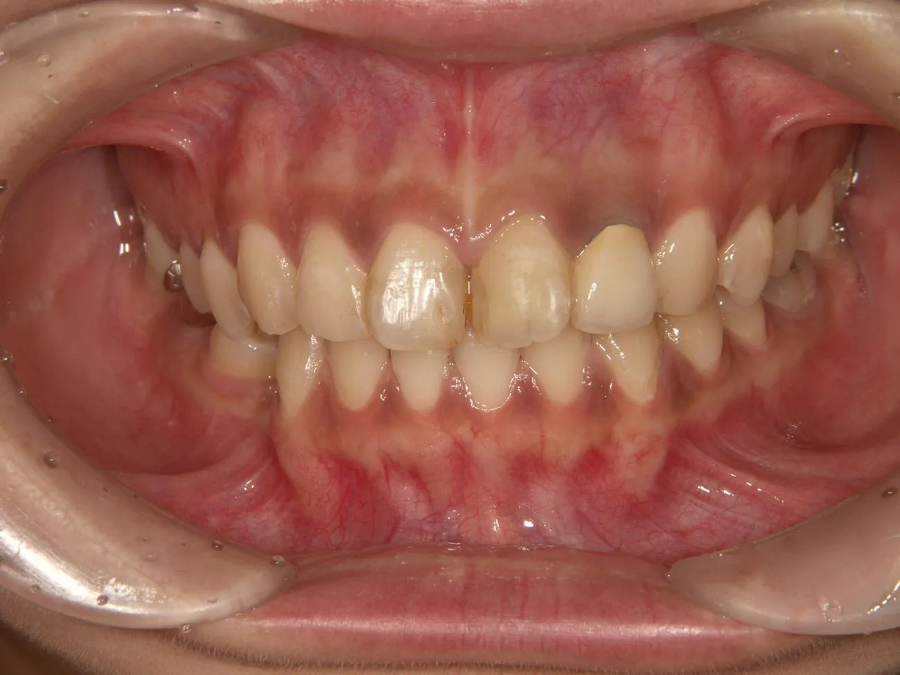
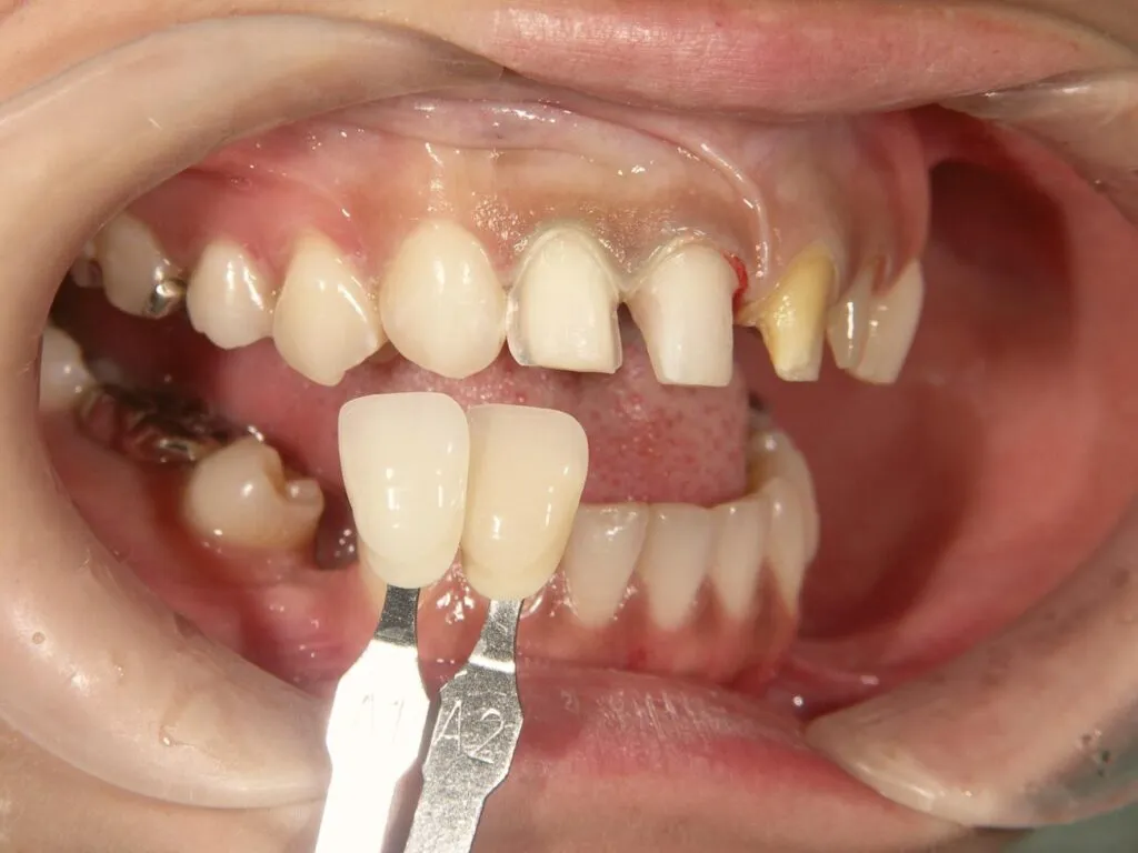
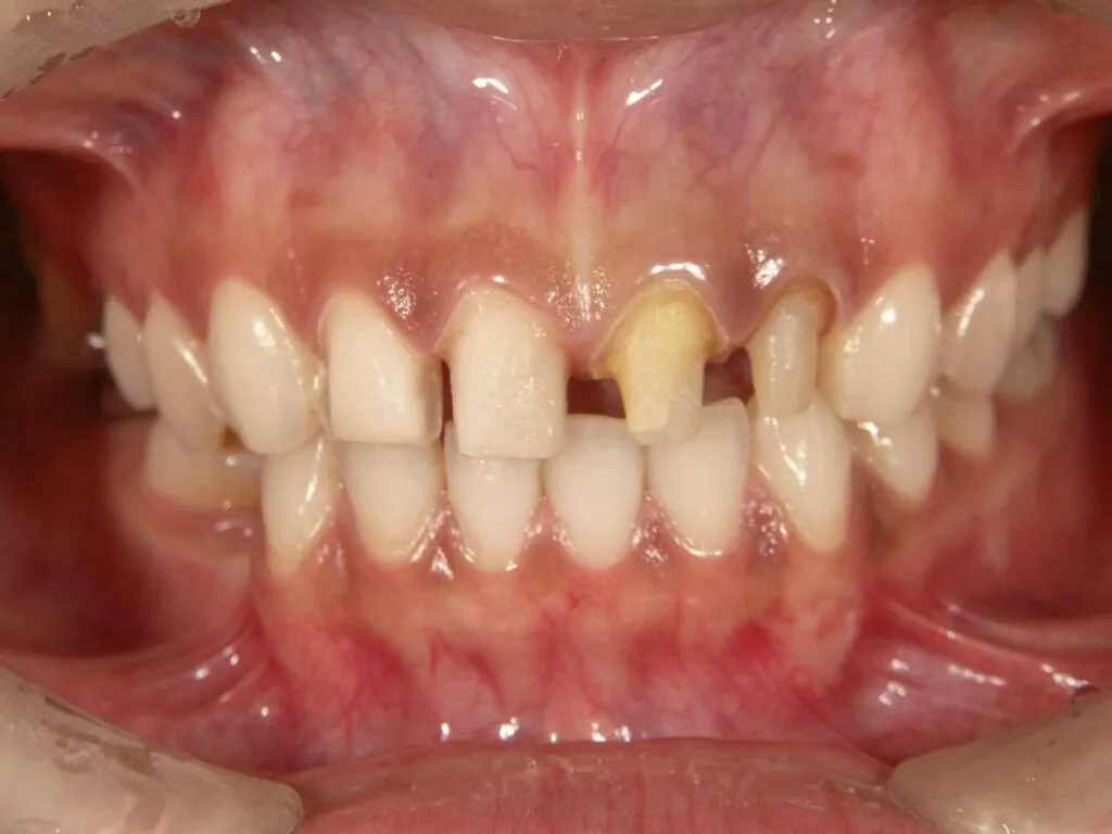
症例
患者様のお悩み | 前歯が気になって笑えない |
|---|---|
治療法・使用素材 | オールセラミック クラウン・ラミネートベニア |
患者様の年代 | 20代 |
治療開始年齢 | 24歳 |
治療にかかった期間 | 6ヶ月 |
性別 | 女性 |
この治療のリスクについて | 出来栄えに満足できないかもしれない |
治療にかかった費用 | 50万 |
治療前

治療中



治療後




