歯の神経の治療~根管治療

神経にまで進行してしまった重度のむし歯になると、歯を削ってインレー(詰め物)やクラウン(被せ物)を装着する治療だけでは済まなくなり、神経の治療が必要になります。それが根管治療です。 根管治療とは、根管内のむし歯に冒された神経や血管を取り除き、消毒して薬剤を充填する治療。肉眼では見えない部分の治療となるため高度な技術が必要ですが、大阪市北区・大阪市福島区からも近いこばやし歯科クリニックでは歯科用CTとマイクロスコープを用いて精密な根管治療を実現しております。また数多くの治療実績を持っておりますので、安心してご相談ください。
なぜ根管治療は必要?
かつて重度のむし歯になると、その歯は抜かなくてはなりませんでした。そうやって一度抜いてしまった歯は、元に戻すことはできません。その上、歯を抜いてしまうと口元の見た目が悪くなるばかりか、残った歯並びが乱れてしまうことがあります。しかし今日、根管治療の技術が進歩したことで、重度のむし歯も残せるようになりました。根管治療とは、自分の歯を残すための大切な治療なのです。
根管治療が必要な症状とは?
根管治療が必要な症状には、次のものがあります。これらの症状には個人差がありますので、くわしくは当院までご相談ください。
神経が残っている場合の症状
- 冷たい物や甘い物を食べると、しみたり痛んだりする
- 噛みしめると痛い
- 何もしなくても痛みがある
など
すでに神経がない場合の症状
- 歯茎が腫れている
- 歯茎をさわると痛い
- 噛みしめると痛い
- 歯が浮いているような感覚がある
など
根管充填とは
根管治療では、根管内の神経や血管を取り除いてきれいにした後の薬剤の充填がとても重要になります。この際、いかにすき間なく充填できるかが根管治療の成功のカギとなるのです。
歯髄保存療法
神経(歯髄)近くまたは神経自体にまで達したむし歯があるとき、外傷によって神経が露出したときに、MTAセメントという特殊なセメントを使用し、神経を残す治療です。
これまでであれば神経を除去するしかないケースでも、神経を残せる可能性があります。
神経を残すことの重要性を鑑み、当院では根管治療の前に、まずは歯髄保存療法を第一の選択肢として考えます。ただ、自費・保険から選べる根管治療とは異なり、歯髄保存療法はすべて自費診療となります。歯髄保存療法のメリットやデメリット、費用のことなどを詳しくご説明した上で、最終的には患者様に治療法を選んでいただきます。
神経を残すことの重要性
歯の健康を損なわない
歯の白さを保てる
むし歯などの口腔トラブルに早く気づける
当院の歯髄保存療法の特徴
エビデンスに基づいた正確な診断
マイクロスコープ、ラバーダムの活用
時間を十分にとり、治療の品質を保つ
根管治療の流れ
1神経・血管の除去
はじめに、むし歯によって冒された根管内の神経や血管を取り除きます。
2作業長測定(EMR)
神経や血管が取り除かれた根管内を洗浄し、殺菌・消毒を行いきれいにします。
3薬剤の充填
きれいになった根管内に、すみずみまですき間なく薬剤を充填します。
4土台構築・クラウン装着
歯根に土台を構築し、クラウンを被せて治療は完了です。
費用
根管治療費のご案内
※保険治療と自費治療のコースがありますので、詳しくはお問合せください。
※掲載価格は全て税込みです。
| 前歯 | 88,000円 |
|---|---|
| 小臼歯 | 110,000円 |
| 大臼歯 | 165,000円 |
| ファイバーコア | 11,000円 |
| MTA使用料 | 少量歯:22,000円 多量歯:4,400円 |
| 歯髄保存療法 | 80,000円 |
大阪市北区で根管治療をご希望の方は、精密検査が可能なこばやし歯科クリニックまでご相談ください。
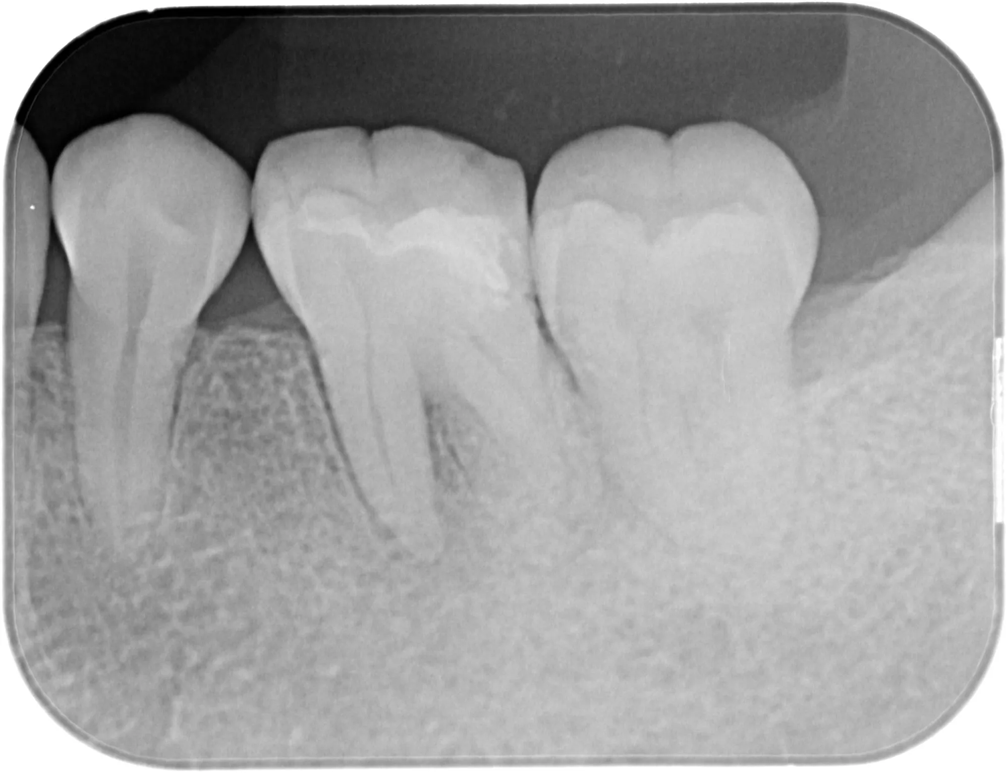
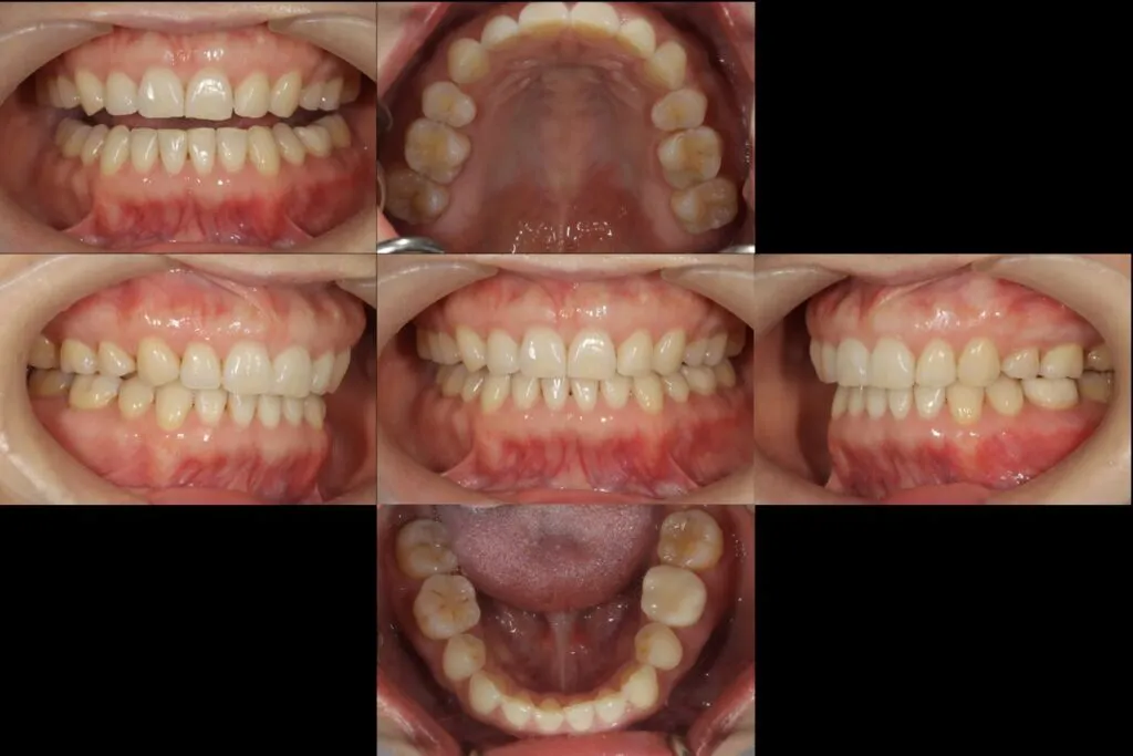
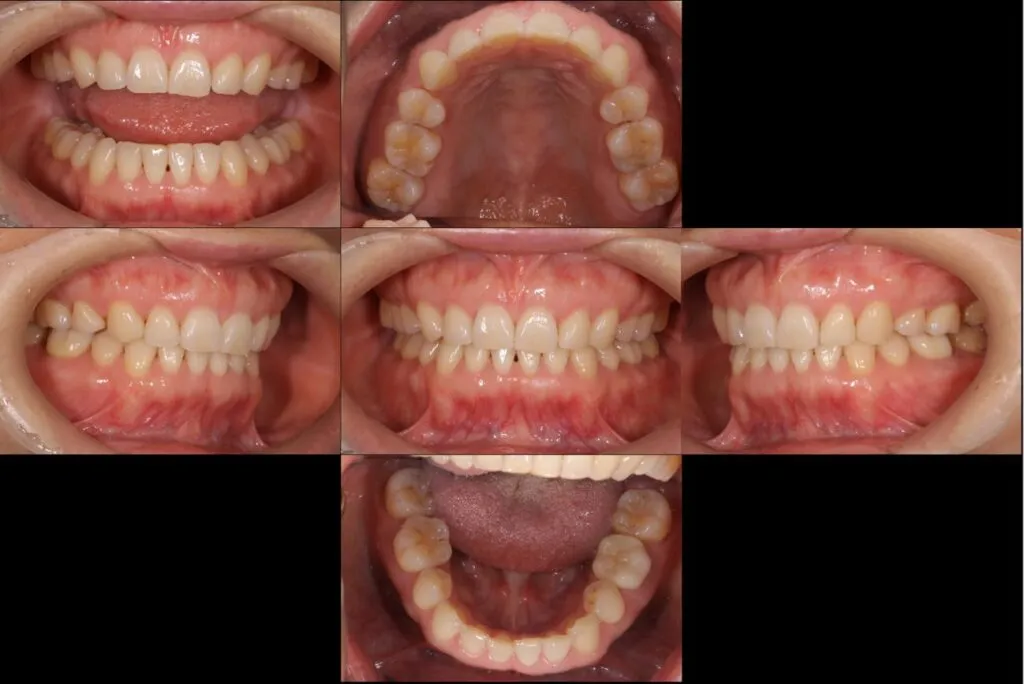
症例
患者様のお悩み | 左下が痛くて噛めない |
|---|---|
治療法・使用素材 | 自費根管治療・補綴処置・オールセラミック |
患者様の年代 | 30代 |
治療開始年齢 | 36歳 |
治療にかかった期間 | 6ヶ月 |
性別 | 女性 |
この治療のリスクについて | 病態が改善しないかもしれない |
治療にかかった費用 | 30万 |
治療前



治療後





