インプラント治療をお考えの方へ

病気、加齢、事故などにより歯を失った時に、失った歯の機能性を回復させるための方法として、「入れ歯」「ブリッジ」「インプラント」などがあります。インプラントとは、歯を失った部分の顎の骨にチタン製の人工歯根(インプラント)を埋入し、その上に人工歯を装着させることで、失われた歯の機能性を回復させる方法です。チタンは生体親和性の高い素材なので、顎の骨にしっかり定着し、自然に近い噛み心地を実現させることができます。また、人工歯にはセラミックを使用するので、審美性の高い仕上がりとなります。 当院ではインプラント治療には欠かせない歯科用CTを導入しておりますので、スムーズに治療を受けていただくことができます。 大阪市北区・大阪市福島区でインプラント治療をお考えの方は、こばやし歯科クリニックへご相談ください。
入れ歯・ブリッジとの比較
| インプラント | 入れ歯 | ブリッジ | |
|---|---|---|---|
| 特徴 | ![]() | ![]() | ![]() |
| 歯を失った部分の顎の骨にチタン製の人工歯根(インプラント)を埋入し、その上に人工歯を装着させる | 失った歯の本数に応じて、部分入れ歯や総入れ歯を作製し、装着させる | 歯を失った部分の両隣の歯を削り、それを土台として人工歯を装着させる | |
| メリット | ・天然歯同様の噛み心地を実現することができる ・審美性が高い ・まわりの健康な歯に負担をかけない | ・治療期間が短い | ・保険診療適用が可能 |
| デメリット | ・治療期間が長い | ・装着時に違和感が生じやすい | ・両隣の健康な歯を削らなくてはいけない ・土台となる歯に負担がかかり、その結果、歯を失う可能性がある |
当院のインプラントシステムインプラントオーバーデンチャー
通常、上顎の骨に6本、下顎の骨に4本のインプラントを埋入し、それを土台として装着する総入れ歯です。現在、総入れ歯をお使いの方で、入れ歯が「ずれる」「外れる」「痛い」「硬いものが噛めない」などでお悩みの方などにおすすめです。インプラントを土台とするのでずれたり外れたりすることがほとんどなく、強い力でしっかりとものを噛むことができるようになります。
抜歯即時インプラント
通常、インプラント治療では抜歯した後、通常、上顎で4~6ヶ月程度、下顎で2~3ヶ月程度の治癒期間をおく必要があります。しかし「抜歯即時インプラント」では、抜歯した直後にインプラントが埋入できるので、治療期間を短縮することができます。
インプラントの治療法
2回法
歯茎を切開する手術を2回行う治療法です。1回目の手術でインプラントを埋入し、治癒期間をおいた後、2回目の手術でインプラントにアバットメント(人工歯とインプラントの連結部分)を取り付け、再び治癒期間をおいた後に人工歯を装着させます。
1回法
歯茎を切開する手術を1回だけ行う治療法です。インプラントを露出させた状態で治癒期間をおき、その後、人工歯を装着させます。
抜歯即時埋入
抜歯と当時にインプラントを埋入する方法です。治療期間を大幅に短縮することができ、歯茎を切開しないので、患者様にかかる負担も少なく、審美的にもきれいに仕上げることができます。
インプラント治療の流れ(2回法)
1インプラントの埋入(1回目の手術)
麻酔後、歯茎を切開し、顎の骨に埋入するインプラントと同じ長さ・太さの穴を開け、そこにインプラントを埋入します。埋入後、インプラントの上部のネジ穴が新しい骨や歯茎で塞がらないように、カバーを取り付けます。
2治癒期間
埋入したインプラントが骨に結合するのを待ちます。治療部位によっても異なりますが、通常3~6ヶ月程度期間をおきます。
3アバットメントの取り付け(2回目の手術)
麻酔後、歯茎を切開し、インプラントの上部を露出させてアバットメントを取り付けます。アバットメントの上部は露出させたままにします。
4人工歯を装着
噛み合わせを確認しながら、人工歯を取り付けます。
骨再生療法
安全にインプラントを埋入するためには、十分な顎の骨量が必要となります。しかし、骨量が足りない場合には、「骨再生療法」により骨量を増やした上で、治療することが可能です。これにより、骨量が足りないために他院でインプラント治療を断られたという方でも、安全に治療を受けていただくことができます。
ガイデッドサージェリーがインプラントの埋入をより正確に
ガイデッドサージェリーとは
ガイデッドサージェリーの作製をおすすめするケース
GBR
骨の幅や高さが足りないために、安全にインプラントが埋入できない方に対して行われる治療です。骨が不足している部分に「メンブレン」という人工膜を入れ、スペースを確保して骨の再生を促進します。
ソケットリフト
上顎の骨の高さが足りないために、安全にインプラントが埋入できない方に対して行われる治療です。専用器具で上顎洞を押し上げ、上顎の厚みを確保して骨を移植します。
CGF
患者様本人から採血を行い、抗凝固剤や凝固促進剤などの添加物を全く加えずに作製できる、完全な自己血液を使用したフィブリンゲルです。
CGFは、手術後の痛みを少なく、そして傷の治りを早くしたり、骨の少ない所の骨再生を早めたりできる利点があります。
それによって、治療期間も短くすることができます。
大阪市北区・大阪市福島区でインプラントをご検討されている方、インプラントは難しいと言われた方はこばやし歯科クリニックまでお越しください。
費用
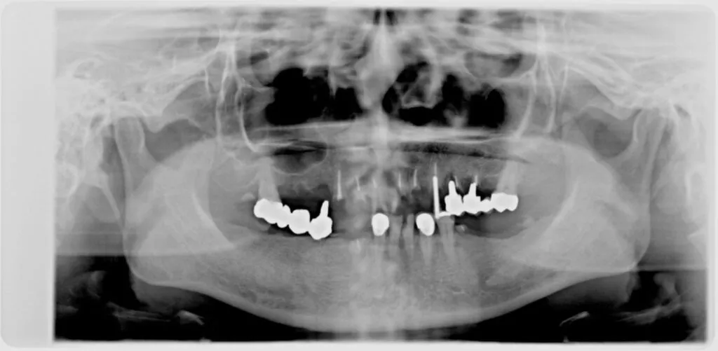
症例
患者様のお悩み | 食事ができない |
|---|---|
治療法・使用素材 | インプラントを用いた全顎的咬合治療 |
患者様の年代 | 40代 |
治療開始年齢 | 49歳 |
治療にかかった期間 | 2年 |
性別 | 女性 |
この治療のリスクについて | |
治療にかかった費用 | 600万 |
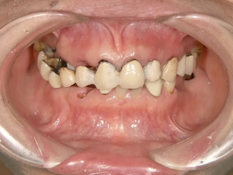
治療前


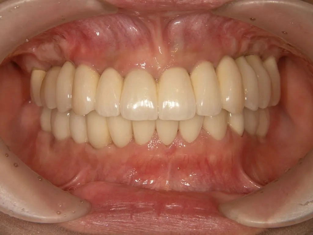
治療後







