歯を失った方へ
病気、加齢、事故などにより歯を失った時に、失った歯の機能性を回復させるための方法として、「入れ歯」「ブリッジ」「インプラント」などがあります。このうち、入れ歯は最も多くの方が選択している方法です。入れ歯に対して、「目立つ」「外れる」「噛みにくい」などのイメージを持たれている方もいるかもしれませんが、今では様々な種類の自費の入れ歯が開発されており、装着しても目立たない入れ歯、快適にお使いいただける入れ歯などもあります。
大阪市北区のこばやし歯科クリニックでは患者様お一人おひとりのお口の中の状態や、ご要望を詳しくおうかがいした上で、適切な入れ歯をご提案させていただきます。初めて入れ歯を作られる方も、今の入れ歯にご不満がある方も、何でもお気軽にご相談ください。
入れ歯の種類
ノンクラスプデンチャー

入れ歯を固定するための金属のバネ(クラスプ)がない、部分入れ歯です。バネがないので目立ちにくく、さらに歯茎部分に柔らかい樹脂を使用しているため、装着時の違和感を軽減することができます。金属を使用しないので、金属アレルギーの方でも安心してお使いいただけます。
メリット
- 金属のバネがないので目立ちにくい
- 装着時の違和感を軽減することができる
- 金属アレルギーの心配がない
デメリット
- 柔軟性があるため、硬いものを噛むとたわむことがある
- 調整や修理が難しい
マグネットデンチャー

歯根と入れ歯に超小型磁石を取り付けることで、磁力により固定する入れ歯です。入れ歯のずれや、がたつきを抑えることができます。インプラントと組み合わせて、総入れ歯を固定させることも可能です。
メリット
- 金属のバネがないので目立ちにくい
- 入れ歯のずれ、がたつきを抑えることができる
- 保険の入れ歯と比べると安定感があり、噛み心地も良い
デメリット
- 土台となる歯の本数が少ない場合には、適応とならない場合もある
- 歯根が残っていないと適応とならない
- 磁気アレルギーの方には適応とならない
- CTやMRIの画像に影響が出る
- MRI後に磁力が落ちる
- 経年的に磁力が落ちる
コーヌスクローネデンチャー

歯根部分に内冠、入れ歯側に外冠を付けて、それらをはめ込み空気圧によって固定する入れ歯です。自然な見た目と、優れた噛み心地を実現することができます。
メリット
- 金属のバネがないので目立ちにくい
- 安定性が高く、入れ歯がずれたり外れたりしにくい
- 保険の入れ歯よりも、残っている歯に負担をかけにくい
デメリット
- 土台となる歯を削らなければいけない
- 歯をすべて失った方には適応とならない
- 義歯に負担がかかり処理が必要になる
金属床入れ歯

床部分に金属を使用した入れ歯です。薄く作ることができるので、少ない違和感で装着することができます。熱伝導に優れているので、食事を美味しく味わうこともできます。当院では金属の素材を、「ゴールド」「チタン」「コバルトクロム」からお選びいただけます。
メリット
- 薄く作ることができるので、少ない違和感で装着することができる
- 熱伝導に優れているので、自然に近い形で食事の温度を感じることができる
- 耐久性が高いので、割れたり変形したりしにくい
デメリット
- 調整や修理が難しい
- 顎の骨が痩せると合わなくなることがある
- 金属アレルギーの原因となることがある
アタッチメントデンチャー
残っている歯に特殊な連結装置を組み込んだ冠を被せて、部分入れ歯に組み込んだ連結装置と連結させることで、入れ歯を固定する方法です。金属のバネを使用しないので審美性に優れており、安定性が高いので、入れ歯がずれたり外れたりすることはほとんどありません。
メリット
- 金属のバネがないので目立ちにくい
- 安定性が高く、入れ歯がずれたり外れたりしにくい
- 強い力でものを噛むことができるようになる
デメリット
- 連結装置を組み込んだ部分が破損しやすい
- 歯をすべて失った方には適応とならない
インプラントオーバーデンチャー
顎の骨にインプラントを埋入し、それを土台として装着する総入れ歯です。現在、総入れ歯をお使いの方で、入れ歯が「ずれる」「外れる」「痛い」「硬いものが噛めない」などでお悩みの方におすすめです。インプラントを土台とするのでずれたり外れたりすることがほとんどなく、強い力でしっかりとものを噛むことができるようになります。
メリット
- 金属のバネがないので目立ちにくい
- 入れ歯がずれたり外れたりすることがほとんどない
- 強い力でものを噛むことができるようになる
- 歯槽骨の吸収が抑えられるので、長期にわたって入れ歯が安定する
- 数少ないインプラントでも適用することが出来る
デメリット
- インプラントを埋入するための手術が必要
保険と自費の違い
入れ歯には保険診療適用のものと、自費診療適用のものがあります。保険診療適用の入れ歯であれば費用を抑えることができますが、審美性や機能性を追求されたい方には、自費診療適用の入れ歯をおすすめしております。
| 保険診療適用の入れ歯 | 自費診療適用の入れ歯 | |
|---|---|---|
| 素材 | 床部分の素材がレジン(歯科用樹脂)に限られる | 床部分や歯などで、様々な素材を選択することができる |
| 様式 | 選択することはできない | 様々な様式から選択することができる |
| 装着感 | 装着時に、多少の違和感がある | 床部分を薄く作ったり、歯茎部分の素材を選択したりすることで、違和感を軽減することができる |
| 食事 | 固いものが噛みづらい、温度の感じ方が自然でないなどの不具合がある | 噛み心地や装着感に優れており、味や温度を自然に感じることができる |
| 審美性 | 素材を選択することができないため、審美性を追求することはできない。部分入れ歯の場合には、金属のバネが目立つ | 歯や歯茎の色を選択したり、金属ノバネがない様式を選択したりするなど、審美性を追求することができる |
AGCテレスコープコーヌスデンチャー(AGC術者可撤式ブリッジ)
土台となる歯に三重構造の維持装置を作成する、新しいタイプの入れ歯です。土台となる歯を削り、その上に純金の内冠を被せます。さらにその上に純金の外冠を被せ、入れ歯の金属フレームを作成します。
取り外しの硬さのコントロールが通常のテレスコープコーヌスデンチャーよりも容易で、ほどよい装着感が得られます。術者可撤式ブリッジですので清掃性に優れていますが、普段の食事などで外れるようなことはありません。
メリット
- はずれ難い入れ歯が入る
- 少ない本数のインプラントで快適に食事ができるようになる
- 歯が欠けたりしたときに修理が容易にできる
デメリット
- 歯ぐきがついた形のかぶせになる
- 取り外し式(ドクターしかほぼ外せないが)なので食事中外れる可能性はある
- 症例によってはゴールドで修復した部分がみえる場合がある
ブリッジとは

ブリッジとは、歯を失った部分の両隣の歯を削り、それらを土台として人工歯と一体化した被せ物を被せる方法です。人工歯をしっかりと固定することができるので、食事の際の違和感などを軽減することができます。ただし、健康な歯を削らなくてはいけないというデメリットもあります。ブリッジ・差し歯をお考えの方は、大阪市北区・大阪市福島区からも近いこばやし歯科クリニックへお越しください。
メリット
- 違和感や異物感が少ない状態で使用することができる
デメリット
- 健康な歯を削らなくてはいけない
- 土台となる歯に負担がかかる
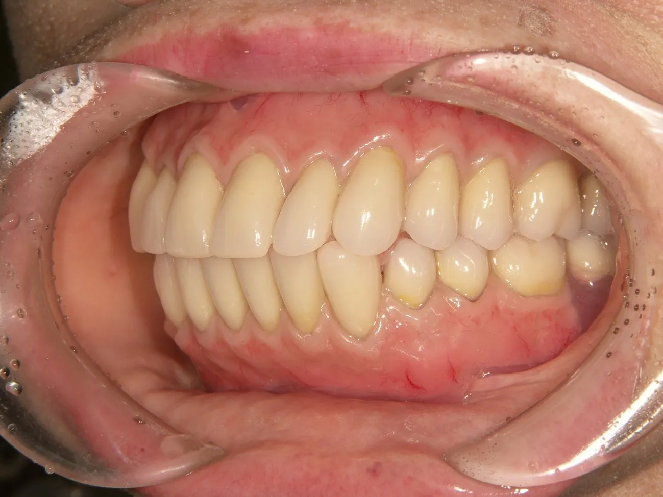
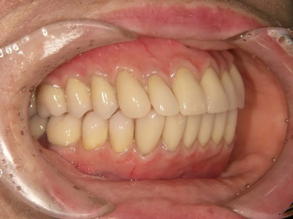
症例
患者様のお悩み | 入れ歯でものがうまく噛めない・入れ歯が気持ち悪い |
|---|---|
治療法・使用素材 | 金属床 審美的歯ぐき表現 |
患者様の年代 | 70代 |
治療開始年齢 | 73歳 |
治療にかかった期間 | 11月 |
性別 | 女性 |
この治療のリスクについて | うまく馴染まない |
治療にかかった費用 | 100万 |
治療前


治療後

治療後


費用
マグネットデンチャー、インプラントオーバーデンチャー、AGCテレスコープコーヌスデンチャー(AGC術者可撤式ブリッジ)の費用に関しましては、症例に応じて費用が異なりますのでお問い合わせください。


